Case Report


Pediatric Cushing disease: Desmopressin versus ovine CRH stimulated inferior petrosal sinus sampling

1 Clinical Associate Professor, Pediatric Endocrinology, University of Florida, Gainesville, Florida, Unites States of America

Address correspondence to:

Henry John Rohrs III

MD, University of Florida, Department of Pediatrics, Box 100296, Gainesville, Florida-32610,

United States of America

Message to Corresponding Author


Article ID: 100005Z19HR2018

doi: 10.5348/100005Z19HR2018CR

Access full text article on other devices

Access PDF of article on other devices

How to cite this article

Rohrs III HJ. Pediatric Cushing disease: Desmopressin versus ovine CRH stimulated inferior petrosal sinus sampling. J Case Rep Images Pediatr 2018;1:100005Z19HR2018.

ABSTRACT


Introduction: Our case discusses a pediatric patient that had an ACTH secreting pituitary adenoma that was not biochemically diagnosed using desmopressin as the stimulating agent for inferior petrosal sinus sampling (IPSS), but as the patient had clinical findings suggestive of Cushing disease, the test was repeated using the gold standard of oCRH as the stimulant, and a pituitary adenoma was identified and subsequently removed.

Case Report: An 8-year-old male presented with physical findings and biochemical evidence of Cushing disease. MRI of the brain revealed a heterogeneous filling defect within the left and right lateral aspects of the pituitary without microadenoma visualized. IPSS was performed using desmopressin as the stimulant for IPSS. The test was negative for ACTH secreting adenoma. IPSS was repeated using the gold standard of oCRH and the patient was found to have Cushing disease.

Conclusion: While desmopressin-stimulated IPSS has shown sensitivity and specificity of over 90% in multiple adult studies and case reports in pediatrics have suggested efficacy, formal pediatric studies have yet to be conducted. Additional studies of desmopressin as a stimulant for pediatric IPSS are warranted and clinicians should be aware of the potential lack of sensitivity of desmopressin stimulated IPSS in pediatric patients.

Keywords: Cushing disease, IPSS, oCRH, Pituitary adenoma, Vasopressin

Introduction


Cushing syndrome is caused by prolonged exposure to elevated levels of either endogenous or exogenous glucocorticoid. Supraphysiologic doses of exogenous glucocorticoids used for treatment of many non-endocrine diseases is the most common cause of Cushing syndrome in the pediatric population. An adrenocorticotropichormone (ACTH) secreting pituitary adenoma or Cushing disease is the most common cause of endogenous Cushing syndrome in children and adolescents after the age of 5 years [1].

As laboratory testing and non-invasive imaging have low sensitivity in diagnosing Cushing disease, the gold standard diagnostic test remains bilateral inferior petrosal sinus sampling (IPSS) [2]. IPSS is performed by obtaining ACTH from both the right and left inferior petrosal sinuses as well as peripherally before and after stimulation using either ovine corticotropin-releasing hormone (oCRH) or more recently desmopressin. Desmopressin is increasingly being used over oCRH as the stimulating agent for inferior petrosal sinus sampling (IPSS). This was compounded by a national shortage of oCRH and a cost 15 times that of desmopressin that further pushed the need for alternative methods of testing [2],[3]. In available studies, desmopressin has been found to be a comparable stimulant in IPSS testing, with similar sensitivity and specificity as oCRH (both medications have been found to have sensitivity and specificity over 90%) [4],[5]. This case presents a pediatric patient that had an ACTH-secreting pituitary adenoma that was not diagnosed using desmopressin as the stimulating agent for IPSS, but repeat testing using the gold standard of oCRH as the stimulant, allowed identification of a pituitary adenoma, which was subsequently removed.

Case Report


An 8 year, 7 month old male was referred for evaluation of precocious puberty. He developed pubic hair, body odor and acne at 7 years of age. During the previous year he had gained 10 kg and his height deviated from the 90th to 75th percentile. Physical examination revealed hypertension, height 135.2 cm (+0.64 SD), weight 59.1 kg (+2.95 SD), BMI 32.33 kg/m2 (+2.68 SD), plethoric moon face, Tanner 3 pubic hair, 5 mL testicles bilaterally, and mild facial acne. Cortisol level drawn at 1430 was 16.4 mcg/dL and testosterone was 14 ng/dL.

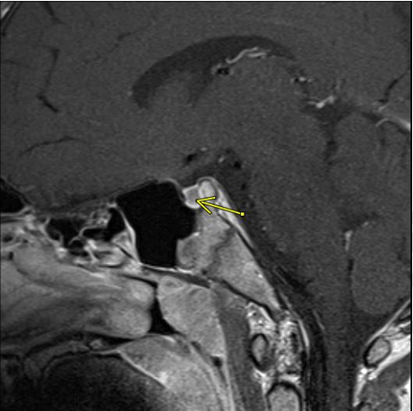
Presentation was concerning for Cushing syndrome and 1 mg overnight dexamethasone suppression test was performed with AM cortisol 2.0 mcg/dL and ACTH 15 pg/mL. Despite the indeterminate results, over a 3 month period he gained an additional 4.1 kg without height gain and appeared more Cushingoid. A 48- hour low dose dexamethasone suppression test was performed; baseline 8 am cortisol was 22.1 mcg/dL, 48- hour cortisol was 5.8 mcg/dL, and ACTH was 29 pg/ mL. With biochemical evidence of Cushing disease, MRI of the brain was performed revealing a heterogeneous filling defect within the left and right lateral aspects of the pituitary. A microadenoma was not visualized, but could not be excluded (Figure 1), (Figure 2).

Inferior petrosal sinus sampling (IPSS) was performed to further evaluate the patient. Notably, our institution is now using desmopressin in place of ovine corticotropinreleasing hormone (oCRH) as the stimulant for IPSS. The results were negative for microadenoma (Table 1). As this finding was not consistent with the clinical and biochemical picture, the patient was referred to the National Institutes of Health (NIH) for a second opinion. Repeat IPSS was performed using oCRH and revealed increase of ACTH in the right IPS from 162 pg/mL to 1250 pg/mL at 3 minutes with right petrosal sinus to peripheral ratio of 30.6 confirming diagnosis of Cushing disease (stimulated ACTH IPSS/peripheral ratio greater than 3 suggestive of pituitary source of ACTH) (Table 2). He then underwent transsphenoidal surgery with successful removal of adenoma and subsequent cure of his Cushing disease. Histopathology confirmed the removed adenoma showed the immunohistochemical stain for ACTH as strong and diffuse consistent with the diagnosis of ACTH secreting adenoma. Genetic testing for multiple endocrine neoplasia type 1 was sent during hospitalization after a family history of hyperparathyroidism in multiple family members was elicited and was positive for pathogenic heterozygous variant of the MEN1 gene with coding DNA c.1192 C>T and variant p.Gln398Ter (Q398X).

Figure 1: Coronal image of MRI with contrast of the heterogeneous filling defect within the lateral aspects of the pituitary gland on the right and left side with possible adenoma highlighted by arrow.

Share Image:

Figure 2: Left sagittal image of MRI with contrast of the heterogeneous filling defect with possible adenoma highlighted by arrow.

Share Image:

Table 1: Results of inferior petrosal sinus sampling using DDAVP as stimulus

Share Image:

Table 2: Results of inferior petrosal sinus sampling using oCRH as stimulus

Share Image:

Discussion


The diagnostic criteria for Cushing disease when performing IPSS uses the same ratios for both oCRH and desmopressin. A central to peripheral ratio of ACTH greater than or equal to 2 before stimulation or greater than or equal to 3 after stimulation is consistent with the diagnosis of an ACTH secreting pituitary adenoma [3],[6]. During our patient’s IPSS using desmopressin as the stimulating agent, both the basal and stimulated ratios never exceeded the diagnostic cutoffs. The repeat IPSS performed with oCRH was consistent with Cushing disease with a basal ratio of 5.3 from the right inferior petrosal sinus (IPS) (ratio was only 1 on the left IPS) and peaked at 30.6 at 3 minutes also from the right IPS. Lateralization of the pituitary adenoma has been proposed by using intersinus gradient comparing the ratio of the ACTH concentration between the left and right IPS. A basal ratio of 1.4 or greater suggests lateralization with post stimulated ratios not shown to improve the positive predictive value [6].

Our patient had a right to left IPS ratio of 5.2 before stimulation on his repeat IPSS testing suggesting that the adenoma was on the right side of his pituitary. Transsphenoidal surgery was performed and an adenoma from the right side of the pituitary was indeed found and removed. A postoperative 9 am serum cortisol of less than 1.8 ug/dL within 2 weeks of surgery predicts remission and our patient achieved a morning cortisol value less than 1 ug/dL by 72 hours post operatively [7].

The use of oCRH stimulation for bilateral inferior petrosal sinus sampling remains the gold standard for evaluation of Cushing disease. Most studies evaluating the role of desmopressin IPSS have included only adult patients or a mixture of adult and older pediatric patients. One study looked at 56 patients with confirmed ACTH-dependent Cushing syndrome with negative MRI for adenoma and found desmopressin IPSS had sensitivity 92.1% and specificity 100% (only 6/56 were pediatric patients and ranged from age 14 to 17 years of age) [4]. A second study looked at 43 patients suspected biochemically of having ACTH-dependent Cushing syndrome with negative MRI for adenoma and/or discordant cortisol response to high-dose dexamethasone testing and found sensitivity of 92% and specificity 100% (only 3/43 patients were pediatric patients with ages 8, 14 and 17 years) [5]. Case reports exist using this technique in pediatric patients, but larger studies have not been done to date [8],[9].

Our patient represents a case with clear biochemical evidence of Cushing disease, but absence of identifiable adenoma on MRI that necessitated IPSS being performed, first using desmopressin with negative result, but when repeated with oCRH showed clear evidence of an ACTH producing adenoma.

Additional studies of desmopressin as a stimulant for pediatric IPSS are warranted and clinicians should be aware of the potential lack of sensitivity of desmopressin stimulated IPSS.

Conclusion


Following nationwide shortage of oCRH, desmopressin was used as an alternate stimulant to perform IPSS. While desmopressin-stimulated IPSS has shown sensitivity and specificity of over 90% in multiple adult studies and case reports in pediatrics have suggested efficacy, formal pediatric studies have yet to be conducted. Desmopressin stimulated IPSS failed to detect Cushing disease in our patient while a subsequent oCRH stimulated IPSS confirmed the diagnosis.

REFERENCE


1.

Savage MO, Storr HL. Pediatric Cushing's disease: Management issues. Indian J Endocrinol Metab 2012 Dec;16(Suppl 2):S171–5. [CrossRef] [Pubmed]   Back to citation no. 1  

2.

Deipolyo A, Oklu R. Bilateral inferior petrosal sinus sampling in the diagnosis of Cushing disease. J Vascular Diagnostics and Interventions 2015;3:1–7.   Back to citation no. 1  

3.

Deipolyi AR, Alexander B, Rho J, Hirsch JA, Oklu R. Bilateral inferior petrosal sinus sampling using desmopressin or corticotropic-releasing hormone: A single-center experience. J Neurointerv Surg 2015 Sep;7(9):690–3. [CrossRef] [Pubmed]   Back to citation no. 1  

4.

Machado MC, de Sa SV, Domenice S, et al. The role of desmopressin in bilateral and simultaneous inferior petrosal sinus sampling for differential diagnosis of ACTH-dependent Cushing's syndrome. Clin Endocrinol (Oxf) 2007 Jan;66(1):136–42. [CrossRef] [Pubmed]   Back to citation no. 1  

5.

Lim JH, Kim SJ, Jung MK, et al. A patient with Cushing disease lateralizing a pituitary adenoma by inferior petrosal sinus sampling using desmopressin: A case report. Ann Pediatr Endocrinol Metab 2016 Mar;21(1):43–6. [CrossRef] [Pubmed]   Back to citation no. 1  

6.

Zampetti B, Grossrubatscher E, Dalino Ciaramella P, Boccardi E, Loli P. Bilateral inferior petrosal sinus sampling. Endocr Connect 2016 Jul;5(4):R12–25. [CrossRef] [Pubmed]   Back to citation no. 1  

7.

Trainer PJ, Lawrie HS, Verhelst J, et al. Transsphenoidal resection in Cushing's disease: Undetectable serum cortisol as the definition of successful treatment. Clin Endocrinol (Oxf) 1993 Jan;38(1):73–8. [CrossRef] [Pubmed]   Back to citation no. 1  

8.

Castinetti F, Morange I, Dufour H, et al. Desmopressin test during petrosal sinus sampling: A valuable tool to discriminate pituitary or ectopic ACTH-dependent Cushing's syndrome. Eur J Endocrinol 2007 Sep;157(3):271–7. [CrossRef] [Pubmed]   Back to citation no. 1  

9.

Gannagé-Yared MH, Slaba S, Rizk T, Chidiac Wehbe RM. Use of desmopressin as an alternative to corticotropin-releasing hormone during inferior petrosal sinus sampling in a child with Cushing's disease. J Endocrinol Invest 2007 May;30(5):434–8. [Pubmed]   Back to citation no. 1  

SUPPORTING INFORMATION


Author Contributions

Henry John Rohrs III - Substantial contributions to conception and design, Acquisition of data, Analysis of data, Interpretation of data, Drafting the article, Revising it critically for important intellectual content, Final approval of the version to be published

Guaranter of Submission

The corresponding author is the guarantor of submission.

Source of Support

None

Consent Statement

Written informed consent was obtained from the patient for publication of this study.

Data Availability

All relevant data are within the paper and its Supporting Information files.

Conflict of Interest

Author declares no conflict of interest.

Copyright

© 2018 Henry John Rohrs III. This article is distributed under the terms of Creative Commons Attribution License which permits unrestricted use, distribution and reproduction in any medium provided the original author(s) and original publisher are properly credited. Please see the copyright policy on the journal website for more information.